약간주걱턱 주걱턱 치아교정
페이지 정보
작성자 최고관리자 작성일16-01-01 23:42 조회71회 댓글0건관련링크
본문
약간주걱턱
약간주걱턱에 관해 궁금한 점을 해결해 드립니다.원하시는 것이 무엇인가요? 가격? 디자인? 실용성? 성능(기능)? 전문가의 리뷰가 도움이 될 것 입니다.Q&A만 보셔도 선택의 감이 오실 겁니다.전문가의 선택 요령과 많은 분들의 후기가 준비되어 있으며, 궁금하신 것은 언제든 물어보세요.
환한 이미지를 만들어줄 수 있는 치아교정이 인기랍니다 약간 주걱턱 치아교정만으로 효과를 볼 수 있을까..? 치아 교정으로 약간 주걱턱을 개선할수 있는게 사실인데요 치아나 턱뼈의 모양에 따라
한다네여 부정교합때문에 치아마모현상까지 일어난다고해요 ㅜㅜ 생각만해도 소오름 ~ 제동생도 약간 주걱턱이거든요 ㅠ 방송보니 걱정되더라구요 얼른 취업해 돈많이벌어서 동생 주걱턱교정 시켜줘야겠어요ㅜ
한다네여 부정교합때문에 치아마모현상까지 일어난다고해요 ㅜㅜ 생각만해도 소오름 ~ 제동생도 약간 주걱턱이거든요 ㅠ 방송보니 걱정되더라구요 얼른 취업해 돈많이벌어서 동생 주걱턱교정 시켜줘야겠어요ㅜ
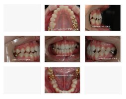
하지만 반대로 아래앞니가 윗앞니보다 앞으로 나와있어 윗앞니를 약간 덮고있는 경우를 반대교합 이라고 합니다. 흔히 주걱턱이라고 많이 아시고 있으실겁니다. 반대교합 은 아래턱뼈가 비정상적으로
아랫턱이 길기만 하다면 아랫턱을 줄이는 수술은 간단합니다. 다만 주걱턱이 있어서 주걱턱을 교정해야 한다면 약간 달라집니다.. 주걱턱이있으면서 교합이 좋다면 단단히 턱끝을 수술함으로써 교정이
주걱턱 치아교정
약간주걱턱에 관해 궁금한 점을 해결해 드립니다.원하시는 것이 무엇인가요? 가격? 디자인? 실용성? 성능(기능)? 전문가의 리뷰가 도움이 될 것 입니다.Q&A만 보셔도 선택의 감이 오실 겁니다.전문가의 선택 요령과 많은 분들의 후기가 준비되어 있으며, 궁금하신 것은 언제든 물어보세요.
환한 이미지를 만들어줄 수 있는 치아교정이 인기랍니다 약간 주걱턱 치아교정만으로 효과를 볼 수 있을까..? 치아 교정으로 약간 주걱턱을 개선할수 있는게 사실인데요 치아나 턱뼈의 모양에 따라
한다네여 부정교합때문에 치아마모현상까지 일어난다고해요 ㅜㅜ 생각만해도 소오름 ~ 제동생도 약간 주걱턱이거든요 ㅠ 방송보니 걱정되더라구요 얼른 취업해 돈많이벌어서 동생 주걱턱교정 시켜줘야겠어요ㅜ
한다네여 부정교합때문에 치아마모현상까지 일어난다고해요 ㅜㅜ 생각만해도 소오름 ~ 제동생도 약간 주걱턱이거든요 ㅠ 방송보니 걱정되더라구요 얼른 취업해 돈많이벌어서 동생 주걱턱교정 시켜줘야겠어요ㅜ
하지만 반대로 아래앞니가 윗앞니보다 앞으로 나와있어 윗앞니를 약간 덮고있는 경우를 반대교합 이라고 합니다. 흔히 주걱턱이라고 많이 아시고 있으실겁니다. 반대교합 은 아래턱뼈가 비정상적으로
아랫턱이 길기만 하다면 아랫턱을 줄이는 수술은 간단합니다. 다만 주걱턱이 있어서 주걱턱을 교정해야 한다면 약간 달라집니다.. 주걱턱이있으면서 교합이 좋다면 단단히 턱끝을 수술함으로써 교정이
주걱턱 치아교정
댓글목록
등록된 댓글이 없습니다.

