금니씌우는가격 크라운 금니 수원리빙웰금니씌우는가격
페이지 정보
작성자 최고관리자 작성일16-04-22 17:31 조회26회 댓글0건관련링크
본문
금니씌우는가격
사용 및 선택의 중요성 비용과 시간 만족을 위한 준비를 해야죠.전문가의 선택 요령과 많은 분들의 후기가 준비되어 있으며, Q&A만 보셔도 선택의 감이 오실 겁니다.금니씌우는가격에 대해 궁금하신 것은 언제든 물어보세요. 궁금한 점을 해결해 드립니다.
네요ㅠㅠ임플란트 가격은정확하게나온곳이없네요. 약간의정보가있는곳에서보니까한국의절반정도인데단순치료비가한구의 5배정도더비싸다고합니다.
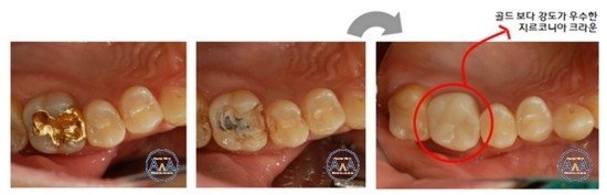
치과마다틀리겠죠?어떤분은금으로전체를다씌우는데 25만원들었다고하네요이가썩어서때우고금으로조금 씌우는건6-7마넌합니다(땜빵)그럼전여기까지-
금니 씌우는거말고아에 금니를이빨을심는것의 가격은대략적으로 35만원내외정도한다고하네요. 이점참고하시기바랍니다.
금니는금의함량과치과에따라30-80만원범위입니다.아마치료받으신치과도금의함량에따라가격이2-4가지정도있을수있습니다.
금니씌우는가격
금니 씌우는 비용 크라운어금니치아비용 충치치료 치아 씌우는 가격 치아 금니씌우는 비용 금으로 씌우는 가격 충치 금니 비용 금니가 빠졌어요 금니 함량 어금니 금니 씌우는 가격 치과 금니 씌우는 가격 폐금니 종류 금니 떼우는 가격 지르코니아 금니 매입가격 금 덮어씌우는 가격 수원리빙웰금니씌우는가격 치과 금니 치료가격 크라운 금니 금함량 크라운 금니 어금니 금니 가격 금니 가격 신경치료후 크라운 가격 금 크라운 가격 치아 금으로 씌우는 비용 수원 치과 크라운 가격 금니 시세 금니 빠졌을때 금니 보철 가격 치과 금니 가격
댓글목록
등록된 댓글이 없습니다.

