라미네이트 크라운 치료 라미네이트 부작용
페이지 정보
작성자 최고관리자 작성일16-04-26 23:20 조회110회 댓글0건관련링크
본문
라미네이트
"라미네이트" 관한 정리!비교 분석~궁금한 점을 해결해 드립니다. 전문가의 선택 방법과 많은 분들의 리뷰가 준비되어 있으며, Q&A만 보셔도 선택의 감이 오실 겁니다.성능, 디자인, 비용, 용도, 기능, 취향 등등... 각종 분류별로 자세한 내용. 부족하다면 언제든 물어보세요!
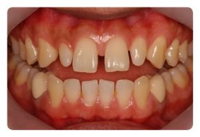
라미네이트로 못생긴 치아에서 탈출하여 치아 콤플렉스에서 벗어나서 밝은 웃음을 되찾을 수 있습니다. 이러한 성남 라미네이트는 치아성형에 속합니다. 치아성형에는 심미보철치료인 라미네이트,
창원치과 팔용동 미소사랑치과입니다. 오늘은 많은 분들이 궁금해 하시는 라미네이트에 대해 알아보겠습니다. 라미네이트는 주로 앞니 부분에 미용적으로 사용되거나 부분적으로 깨진 치아를 복원하기
라미네이트, 지르코니아 등) 크라운은 왕관을 씌우 듯, 인공치아를 씌운다 하여 불리웁니다. 라미네이트 겉으로 드러나는 치아 표면을 얇게 삭제하여 손톱과 비슷하게 만든 세라믹 라미네이트를 부착
있다고 해요 광주라미네이트 치과 신세계는 언제나 1대1 개별 맞춤 진료 가 가능하며, 분야별 협진진료 도 받을 수 있어 걱정 없이 치과치료 받아 보세요 그럼 소개를 끝으로 광주라미네이트치과 신세계의
교정할 수 있는 라미네이트가 인기를 끌고 있답니다. 오늘은 자곡교정치과 자곡서울과 함께 라미네이트에 대해서 알아보도록 하겠습니다! < 자곡교정치과 > 라.미.네.이.트란? 라미네이트는 미관상의 목적으로
신사역 라미네이트교정 제대로 효과보고 싶다면?? 라미네이트교정 으로 희고 예쁜치아를 만들고자 하는 분들이 점점 늘어나고 있는 가운데 가장 효과적으로 받아볼수 있는 치과 를 제가 신사역
라미네이트
하루에 치과 라미네이트 식탁보 크라운 치료 muse치아성형 라미네이트가 뭔가요 라미네이트 후기 라미네이팅 기계 백아연 라미네이트 라미네이트 가격 라미네이트 란 라미네이트 비용 치아미백 라미네이트 부작용 치아미백 부작용 올세라믹 앞니 라미네이트 라미네이트 원단 라미네이터 라미네이트 전후 무삭제 라미네이트
"라미네이트" 관한 정리!비교 분석~궁금한 점을 해결해 드립니다. 전문가의 선택 방법과 많은 분들의 리뷰가 준비되어 있으며, Q&A만 보셔도 선택의 감이 오실 겁니다.성능, 디자인, 비용, 용도, 기능, 취향 등등... 각종 분류별로 자세한 내용. 부족하다면 언제든 물어보세요!
라미네이트로 못생긴 치아에서 탈출하여 치아 콤플렉스에서 벗어나서 밝은 웃음을 되찾을 수 있습니다. 이러한 성남 라미네이트는 치아성형에 속합니다. 치아성형에는 심미보철치료인 라미네이트,
창원치과 팔용동 미소사랑치과입니다. 오늘은 많은 분들이 궁금해 하시는 라미네이트에 대해 알아보겠습니다. 라미네이트는 주로 앞니 부분에 미용적으로 사용되거나 부분적으로 깨진 치아를 복원하기
라미네이트, 지르코니아 등) 크라운은 왕관을 씌우 듯, 인공치아를 씌운다 하여 불리웁니다. 라미네이트 겉으로 드러나는 치아 표면을 얇게 삭제하여 손톱과 비슷하게 만든 세라믹 라미네이트를 부착
있다고 해요 광주라미네이트 치과 신세계는 언제나 1대1 개별 맞춤 진료 가 가능하며, 분야별 협진진료 도 받을 수 있어 걱정 없이 치과치료 받아 보세요 그럼 소개를 끝으로 광주라미네이트치과 신세계의
교정할 수 있는 라미네이트가 인기를 끌고 있답니다. 오늘은 자곡교정치과 자곡서울과 함께 라미네이트에 대해서 알아보도록 하겠습니다! < 자곡교정치과 > 라.미.네.이.트란? 라미네이트는 미관상의 목적으로
신사역 라미네이트교정 제대로 효과보고 싶다면?? 라미네이트교정 으로 희고 예쁜치아를 만들고자 하는 분들이 점점 늘어나고 있는 가운데 가장 효과적으로 받아볼수 있는 치과 를 제가 신사역
라미네이트
하루에 치과 라미네이트 식탁보 크라운 치료 muse치아성형 라미네이트가 뭔가요 라미네이트 후기 라미네이팅 기계 백아연 라미네이트 라미네이트 가격 라미네이트 란 라미네이트 비용 치아미백 라미네이트 부작용 치아미백 부작용 올세라믹 앞니 라미네이트 라미네이트 원단 라미네이터 라미네이트 전후 무삭제 라미네이트
댓글목록
등록된 댓글이 없습니다.

